What Happens if You Don’t Go to The Dentist?

If You Don't Go to the Dentist

To keep your mouth healthy and happy, you’ll need to do more than just brush your teeth at home. Biannual visits to the dentist are a very important part of maintaining your oral hygiene. Unfortunately, many people skip these regular visits, which can lead to more serious dental health problems. 
Mill Dam Dental Care offers comprehensive dental services in Virginia Beach. We even offer sedation dentistry to keep you comfortable during your hygiene appointments. If you’re not sure what happens if you don’t go to the dentist, here’s why regular visits to the dentist are so important and what can happen if you skip them.

Consequences of Skipping Dental Hygiene Appointments Over Time

Skipping your dental appointments may seem harmless, but it can actually have very serious long-term consequences. During your dental appointments, your hygienist will remove the plaque and tartar that has built up on your teeth and gums. When this buildup isn’t removed regularly, it can cause a wide range of health problems. Here are some of the things that can happen if you don’t visit the dentist regularly.

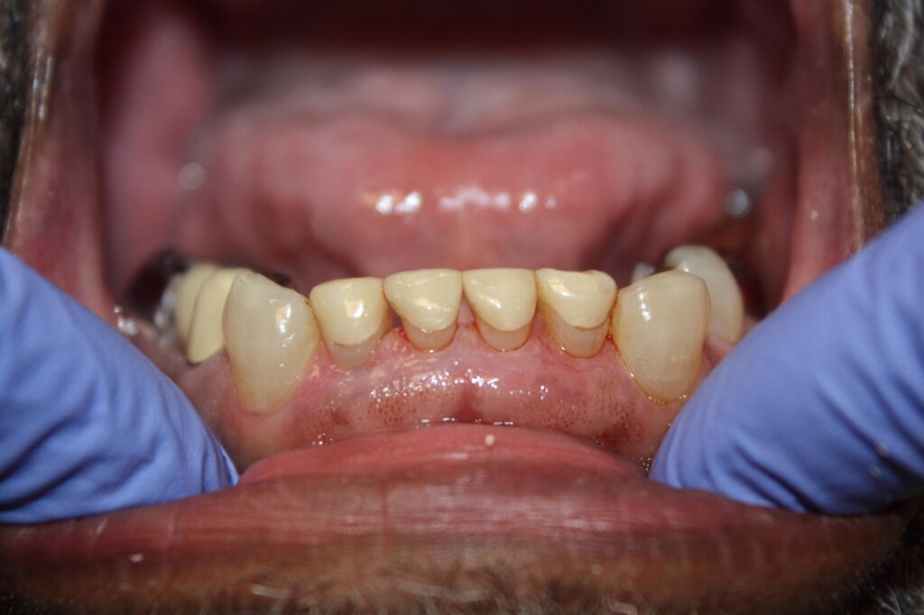
Stained Teeth

In addition to all of the health consequences that come with skipping your dentist appointments, there are also some cosmetic concerns to keep in mind. One is stained teeth – food and drink can slowly start to build up over time, causing your teeth to appear yellow or discolored. This can be made even worse if you smoke cigarettes frequently.

Many people find that severely stained teeth can have a negative effect on their confidence. However, regular dentist appointments can help remove or lessen these stains. Your dentist can also recommend a whitening treatment if you need it.

Halitosis

When plaque and tartar build up in your mouth for an extended period of time, it can lead to some seriously unpleasant breath. This problem is often exacerbated by a poor oral hygiene routine at home as well. Even if you don’t notice it, halitosis can be very unpleasant for the people around you, so it’s important to address it.

Gingivitis

Over time, tartar buildup around the gums can lead to gum disease, or gingivitis. If gingivitis is left untreated, it can become periodontitis, which is more serious and isn’t reversible. Gingivitis is characterized by red, puffy gums. These gums are usually very sensitive and may bleed when you brush, floss, or eat. If gingivitis progresses to periodontitis, it can cause bone loss or tooth loss. Periodontitis also requires more invasive and frequent cleanings in order to manage.

Cavities and Tooth Decay

In addition to irritating your gums, plaque and tartar can also wear down the enamel on your teeth. This can lead to cavities and eventually spread to larger tooth decay. Cavities and tooth decay can be very painful, and in some cases they can require intensive treatments. While small cavities are very easy to fill, large amounts of tooth decay may require crowns, root canals, or even a full tooth removal.

Abscesses

Small cuts and abscesses in the mouth can become infected if they aren’t addressed quickly. However, many abscesses are difficult to detect without the help of a dental professional. Many people wait until the abscess is very painful in order to get treatment, at which point it is much more difficult to address the problem.

Oral Cancer

During your dental hygiene appointments, the office will perform an oral exam and take X-rays if needed. These examinations can detect oral cancer and other serious health conditions at an early stage. If you skip these examinations, you may not catch the cancer until it has progressed and is difficult to treat.

Chronic or Serious Illness

The bacteria that builds up in your mouth can eventually make its way into the bloodstream over time. Because of this, poor oral hygiene has been linked to a wide range of serious illnesses. These include diabetes, heart disease, and many types of cancers.

Treatment for these serious oral health conditions can be invasive and time-consuming. Some of these treatments can also be very expensive. When you get regular cleanings, you can keep your appointments relatively easy, affordable, and pain-free.

What Happens at a Dental Hygiene Appointment?

Dental experts generally recommend that patients come in twice per year, although some patients may only need to come in once per year. Patients with underlying risk factors or existing dental conditions may need to come in as often as every three months. Your dentist will inform you how often you need to come in and help you schedule the appointments you need.

Your dental hygiene appointment typically starts with a physical exam to check for major oral health issues. You may also need to have X-rays done, depending on when you had them last. Next, they will use scaling tools to remove plaque and tartar from your teeth, especially around the gum line. Then, they will polish your teeth using a special toothpaste.

After the scaling and polishing, your hygienist may floss to remove any additional debris that got caught during the procedure. Finally, you’ll get a fluoride treatment, which helps to strengthen the enamel on your teeth and prevent cavities. The fluoride treatment may consist of a rinse, gel, fluoride varnish, or some combination of all three.

During your hygiene appointment, the dental staff will discuss your current oral hygiene routine with you and address any concerns you may have. They can also show you how to properly brush and floss your teeth and recommend high-quality oral hygiene products.

Final Thoughts

While skipping a regular dental appointment may not seem like a big deal, it can cause some serious oral health issues in the long run. If you’re not sure what happens if you don’t go to the dentist, it’s important to get into the habit of visiting the dentist at least twice a year for routine cleanings. finding a dentist you feel comfortable with can make these biannual appointments much easier. If you’re looking for a reliable dentist in Virginia Beach, contact Mill Dam Dental today to learn more.