In House, Professional Teeth Whitening
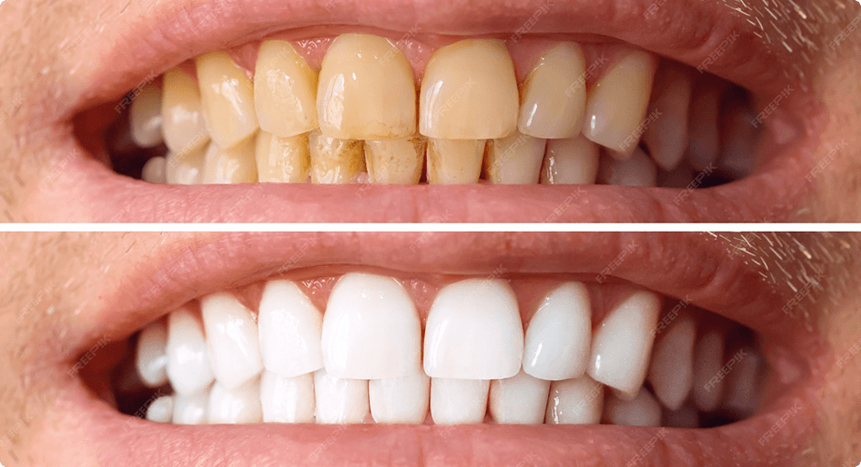
At Mill Dam Dental Care, we provide professional whitening treatments designed to brighten your smile and safely remove stains or discolorations caused by diet, lifestyle, aging, or certain medications,. Compared to over-the counter products, professional whitening systems use a higher concentration of whitening components and deliver them more efficiently to the teeth, achieving optimal results.
Sheer White!®, a professional five-day whitening system is available to patients through our dental office. The non-slip whitening strips deliver a clinical-strength whitening solution that is safe, effective, and designed to reduce sensitivity. Sheer White combines professional results with convenience, making it easy to fit into your daily routine while restoring your teeth to a brighter, healthier color.
Sheer White Teeth Whitening Strips
Sheer White is one of the most advanced whitening systems available, delivering professional-strength results that noticeably enhance your smile. The whitening strips are easy to apply and conform closely to the shape of your teeth, preventing leakage. The system uses a 20% carbamide peroxide solution that remains active for up to eight hours. Because the strips we apply stay in place for an extended period of time, the results are more consistent. And since the strips are barely noticeable, you can go about your daily activities without interference.
Non-Invasive Whitening System
Sheer White professional whitening strips conform closely to the teeth, stay securely in place, and are virtually invisible. They are comfortable to wear during daily activities and typically cause little to no sensitivity. Using Sheer White is simple.
1 – Apply the active surface to the teeth
2 – Place the top of the strip where the teeth and gums meet
3 – Cover all visible tooth surfaces
4 – Allow the strips adapt to the shape of your teeth
5 – Wear Sheer White for up to eight hours
6 – Smile bright!
Our dental team will monitor your progress in order to maximize results and minimize sensitivity. Upon completion of the treatment, we provide aftercare instructions to help you maintain a long-lasting, radiant smile.
Benefits of Professional Whitening
Yellowed or stained teeth can cause you to feel hesitant and self-conscious about sharing your smile. Professional teeth whitening benefits include:
✔️️ Healthier, more youthful appearance
✔️ Promotes better at-home dental care
✔️ Long-lasting and balanced result
✔️ Increased confidence in social settings
Beyond aesthetics, a bright, white smile can boost self-esteem and create a positive impression in personal and professional interactions.
The Cost of Teeth Whitening
Sheer White is a budget-friendly option when compared to other professional whitening products. Custom trays and gels can be costly and time-consuming, making it difficult for everyone to achieve a professional whitening experience. With Sheer White, you’ll enjoy a noticeably whiter smile while saving both time and money.
Starting Your Whitening Treatment
in Virginia Beach
Our Virginia Beach Dentists will assess your teeth and recommend the best option, ensuring safe, effective, and tailored whitening for a brighter, confident smile.
In addition to aesthetic improvements, professional whitening treatments are safe, controlled, and customized to minimize sensitivity while delivering long-lasting results.
Teeth Whitening - Virginia Beach, VA
Book your appointment today and take the first step toward a healthier smile. Our team is here to provide personalized dental care in a comfortable setting.
CALL US
Working Hours
Visit us during our regular office hours for comfortable, quality dental care.
Monday To Thursday
8am – 4:30pm
Friday – Sunday
CLOSED
Inside Mill Dam Dental
Discover how Dr. Jeffrey R. Leidy and his team provide individualized care.
Smile Gallery
A closer look at our team, our patients, and the care we provide every day.
Meet the Team Behind the Smiles.
From the front desk to the treatment chair, we approach every part of your visit with care. At Mill Dam Dental, you’ll always be treated like family.
Dr. Jeffrey R. Leidy, DMD
D.M.D., M.A.G.D., D.ABDSM, F.A.C.D.
Lauren
Office Manager, Clinical Assistant
Christina
Dental Assistant
Janis, RDH
Dental Hygienist
Judee
Administrative/Clinical Assistant
Cheryl
Dental Hygienist
Chelsea
Dental Assistant
Jennifer
Administrative Assistant
FAQs – Teeth Whitening
Taking time to learn about a treatment is completely normal. The more informed you are, the better equipped you’ll be to choose the option that best supports your goals.
Who is a good candidate for teeth whitening?
Individuals with healthy teeth and gums who have discoloration caused by food, injury, age, or certain medications can benefit from teeth whitening. Whitening can help improve the appearance of yellowed or stained teeth, boosting confidence and making it easier to smile freely.
Do you offer enamel microabrasion?
While some offices use this method to remove surface discoloration, it involves removing a layer of enamel and polishing the teeth with an acid-abrasion mixture. We focus on safe, effective whitening methods that preserve the natural enamel.
Do over-the-counter products work as effectively?
Professional teeth whitening systems use a higher concentration of whitening agents and deliver them more efficiently. Over-the-counter treatments are not as effective on deep stains, they often cause uneven results, and are more likely to irritate the mouth.
How often should teeth be whitened?
The frequency of teeth whitening varies by patient, but most people benefit from professional treatments every six months to a year. Whitening too often can cause damage, so it’s important to follow a recommended schedule.
What are the best ways to prevent future discoloration?
While the result of teeth whitening isn’t permanent, there are steps you can take to keep your smile bright as long as possible: maintain your oral hygiene routine at home, schedule regular cleanings, limit dark foods and beverages, and avoid tobacco use.
Can whitening damage enamel or cause side effects?
When done properly, teeth whitening does not harm the enamel. The most common side effect is temporary sensitivity, which typically resolves within a few days to a week. Some patients may also experience mild gum irritation or soreness.
Your Healthier Smile Awaits
Experience personalized dental care designed to keep your smile healthy, confident, and bright.